Respiratory System: (Upper & lower Respiratory tract )
Problems related to this part of the body are encountered the most. We all must have suffered from complaints relating to the respiratory systems many a times. The complaints can be divided broadly in 2 parts
- Allergic
- Infective (Bacterial & Viral)
Children as well as adults are prone to these complaints. In children there has been an increase in the incidence of childhood asthma & respiratory tract infections. We have treated babies as small as 6 months old suffering from acute chest infections & congestions that required nebulization frequently. All these children have been helped in their acute attacks as well as they have been off any form of medication within 4-6 months period of starting homoeopathic treatment.
Allergic Rhinitis & Hay fever
These are hypersensitive disorders with sudden sneezing, running nose (coryza), nasal congestion, smarting, & watering of eyes due to over reaction to any antigen (pollen, dust mite, flowers, etc)
Sinusitis
Infections of sinuses are characterized by running or blocked nose. Pains in the forehead orbit of the eye, cheekbones, and occiput depending on the sinus affected.
Tonsillitis
Homoeopathy & tonsillitis have a very long relation & it has always helped to get rid of this infection. Recurrent throat infections lead to the inflammation & swelling of the tonsils, which is accompanied by swelling of the adenoids too. Fever, difficulty in swallowing & pain in the throat are the common symptoms of this complaint.
Pharyngitis & Laryngitis
Inflammation of the throat with symptoms like hoarseness of voice, throat pain especially while swallowing & cough. Along with regular medication warm water gargling(three times a day) is essential. Lower respiratory tract:
Bronchitis (allergic & infective)
The most common symptom is a dry non-productive, irritating cough with discomfort in the chest followed by difficulty in breathing & wheezing.
Asthma
It can be allergic or intrinsic. In most of the cases this problem begins in the childhood & it is allergic. The symptoms are breathlessness, wheezing in the chest and shortness of breath. It can happen suddenly or can be persistent. Emotional stress plays a major role as a trigger factor for an attack.All complaints of the respiratory tract infection can be associated with very high fever, malaise and drowsiness. The homoeopathic medication prescribed takes care of the infection as well as the fever and other associated complaints
Tension headaches
These are most common form of headaches characterized by constant pain, tightness, dullness, or pressure in the head. The pain can remain for weeks without interruptions. Stress & tensions are common causes precipitating this complaint. At times there are underlying psychological illnesses leading to this state. Homeopathy works far better than analgesics in managing this complaint by treating the underlying cause & hence nullifying the effect.
Migraine
Most patients suffering from migraine complain of periodic headache, which is typically one sided (unilateral) accompanied by vomiting. Headaches are generally preceded by an aura of visual disturbances. Periodicity is the most characteristic feature of this illness. The condition starts after puberty & continues till late middle life. The headache is usually localized to the frontal region & can spread to one side of the head. The pain occurs at intervals, which varies from patient to patient. The pain is very severe throbbing with vomiting, photophobia, & a lot of weakness.
Common causes
- Stress & anxiety play a major role in initiating & precipitating migraine.
- Dietary factors like chocolates, cheese, and alcohol may precipitate the attack.
- In women it is precipitated before menses or women taking oral contraceptives.
- More than 50 % of the cases have a genetic predisposition.
Migraine Homoeopathy Treatment
We are instrumental in providing Migraine Homoeopathy Treatment to the patients. Further, this is a neurological condition, which consists of severe headaches, changed body sensitivity and nausea. The disease is more prevalent in women than in men. These headaches are unilateral and affect one half of the brain. The patient goes through severe pain for 4 to 72 hours, depending up on the condition of the patient. Their symptoms are vomiting, nausea and phonophobia. We recommend highly effective medicines, which provide instant relief to the patients. Moreover, these medicines help in the long term and as well as permanent cure to the headache
Gastro - intestinal System
Our GI tract is exposed to many invasions every day through food and water in terms of algae, bacteria, etc. The food passes through the body parts like oesophagus, stomach, and intestines small & large.
Acid-pepsin Dyspepsia (Acidity)
Gastritis, Peptic Ulcers & Duodenal Ulcers-we call this problem an A- type personality complaint. Increase in the secretion of the acid in the stomach & damage to the mucus wall that prevents this acid from affecting the stomach causes this problem. Faulty diet, inappropriate use of medications & stress are important causes of this problem. The commonest symptom is pain in the abdomen and hunger pains. These pains are ameliorated ,temporarily, by eating.
Irritable Bowel Syndrome (IBS)
This is the most commonly found problem of the G.I. system where stress, anxiety, & tension play a very important role. It is seen in individuals who are anxious personalities. It is seen more commonly in women. The symptoms are pain in the lower left abdomen better by passing stools and erratic bowel habits like alternating symptoms diarrheoa & constipation and an uncontrollable strong urge to pass stools.
Worm infections
Affecting mostly children these are very recurrent nagging problems associated with symptoms of itching in the anus, pain in the abdomen, nocturnal cough, irritability, loss of appetite and loss of weight. Homoeopathy offers excellent results in this sphere.
Haemorrhoids/Piles
Irregular diet, constipation, & modern day life style are primarily responsible for this complaint. There is difficulty in passing stools, bleeding which can be dark in colour and swelling in the anal region. (engorged piles). Proper diet, & medication can restore normalcy completely.
Fissures
Painful defecation, burning while passing stools & fresh bleeding per rectum are all symptoms of fissure in the ano. The cause can be trauma, hard stools, and constipation and anal/ peri anal abscess to name a few.
Ulcerative Colitis
The exact cause is still elusive but it has been seen that a stressful situation in life can precipitate this disease. The main complaint in this problem is diarrheoea, bloody stools or stools with mucus & pus and pain in the lower abdomen.
Skin complaints:
Skin complaints have troubled man since a long time & man has tried various techniques to get rid of them. Homoeopathy has come more in focus because of its ability to cure them effectively without any side effects. Common beliefs about skin complaints are that they are very local complaints and getting rid of them solves the problem for good. However, unfortunately that's not true for many skin complaints. They generally have a deep underlying cause precipitating the skin eruption and therefore applying ointments locally hardly helps a permanent cure.
Eczema
It can be allergic (soaps, detergents, etc.) or endogenous like atopic, seborrhoeic and Neurodermatitis They are characterized by redness & ill-defined swelling, blister like eruptions, cracking, discharges, scaling, itching. People having it for a long time can have thickening of the skin, fissures, and pigmentations.
Psoriasis
This is characterized by thickening of the skin, well-demarcated elevated margins and scales. This complaint is characterized by excessive epidermal proliferation (fast multiplication & death of the upper layer of skin causing the scaling) The cause remains unknown. However, the factors that play a role are Genetic, Bio-chemical, Immunopathological (immune system related) & local. The factors that trigger the pathology are trauma, infections, sunlight, drugs like anti malarial and steroids. Stress & anxiety can trigger an acute exacerbation.
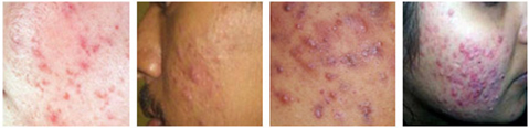
Acne Vulgaris
These are pimples, as we all know. This is generally caused because of inflammation of blocked pilo sebaceous follicles (blocked oil glands of the skin). Cause - hormonal, leading to over secretion & infection. The skin is greasy & the face has blackheads & often we find skin scaring.
What is Acne?
Acne is indeed a part of puberty for a large number of people besides being one of the most common skin diseases. Acne is characterized by pimples on the face, neck, chest, shoulders, back and upper arms caused by clogging of pores in the skin due to excess sebum (oil) production.
The condition is not restricted to any particular age group though it is seen to affect teenagers and young people more commonly. It affects males and females equally; however the patterns of affection vary amongst the two. Young men tend to get more severe outbreaks whereas women tend to have an intermittent pattern (usually related to their menstrual cycles).
Blackheads (Open comedones): The appearance of these is dark or blackish bumps on the skin; here the plugged follicle has developed a melanin build-up (which gives the dark color)
Papules: These are small, firm pink bumps on the skin and can be tender to touch.
Pustules: Small round eruptions on the skin that contain pus and are painful.
Nodules / Cyst: These are larger eruptions that are usually deep seated within the skin, are severely inflamed and painful. Nodules last a long period running into several weeks or months and the contents usually harden and leave behind deep scars.
In majority of cases, the condition begins around the age of 10 to 13 years. Certain studies cite that almost 85 to 100% of people between 12 to 17 years of age have had at least occasional whiteheads, blackheads or pimples regardless of their race and ethnicity.
Types of Acne
What is Acne?
Acne is indeed a part of puberty for a large number of people besides being one of the most common skin diseases. Acne is characterized by pimples on the face, neck, chest, shoulders, back and upper arms caused by clogging of pores in the skin due to excess sebum (oil) production.
The condition is not restricted to any particular age group though it is seen to affect teenagers and young people more commonly. It affects males and females equally; however the patterns of affection vary amongst the two. Young men tend to get more severe outbreaks whereas women tend to have an intermittent pattern (usually related to their menstrual cycles).
Whiteheads (Closed comedones): These appear as tiny whitish bumps on the skin; here the plugged follicle stays below the surface of the skin.
Blackheads (Open comedones): The appearance of these is dark or blackish bumps on the skin; here the plugged follicle has developed a melanin build-up (which gives the dark color)
Papules: These are small, firm pink bumps on the skin and can be tender to touch.
Pustules: Small round eruptions on the skin that contain pus and are painful.
Nodules / Cyst: These are larger eruptions that are usually deep seated within the skin, are severely inflamed and painful. Nodules last a long period running into several weeks or months and the contents usually harden and leave behind deep scars.
In majority of cases, the condition begins around the age of 10 to 13 years. Certain studies cite that almost 85 to 100% of people between 12 to 17 years of age have had at least occasional whiteheads, blackheads or pimples regardless of their race and ethnicity.
Urticaria
This is characterized by a lot of elevated patched (red or white), or nodules with lot of itching & burning. It is generally caused as a reaction to some allergen either via contact or ingestion. It's a complaint where the immune system of the body hyper reacts to the stimulus.
Warts
hese are skin eruptions commonly known as viral warts. They do recur even after cauterization. Another type seen mostly in children is called the water warts or molluscum contagiosum, which spreads, by direct contact.
Wart is one of the common dermatological disorders caused by DNA viruses, which grow in the epidermis. The source of infection is other infected individuals and the disease is transmitted by direct or close contact. It has very low infectivity; a casual contact with an infected individual is unlikely to result in the disease. The virus enters into the skin through minor or microscopic injuries. Clinically the lesions are asymptomatic and manifest in different forms, have irregular verrrucous surface and keep on growing slowly. The number of warts varies from single to several hundred. The individuals with depressed cell-mediated immunity due to treatment with immunosuppressive drugs, Hodgkins'disease, malignant lymphomas and lymphocytic leukaemia are more likely to have a large number of warts. The different varieties of warts include the following :
Common Warts or Verruca Vulgaris: These are characterized by firm, skin colour papules of various sizes with verucous surfaces and can occur on any parts of the body but are most commonly present on the dorsum of the hands and fingers.
Plain Warts or Verruca Plana: It presents as skin colored, slightly raised flat -topped papules and are usually present on dorsum of hand and face.
Filiform Warts: These are finger like projections with irregular surface and are usually seen on the neck, face and scalp.
Plantar warts: These are found on any part of the sole. The lesions are occasionally painful. The warts present as skin colored well defined areas in the sole with irregular surface.
Genital warts: These warts are usually transmitted through sexual contact. These are present as fungating masses of verucous tissue. They usually present on glans penis, corona, mucosal surface of prepuce and occasionally on the urinary meatus in males and the vulva and vaginal openings in the females.
20. Molluscum Contagiosum: Large virus belonging to the pox group of viruses causes it. It gets implanted on the skin by contact with an infected individual. Auto - inoculation after infection is very common which causes the spread of the disease to the different parts of the body. The disease is common in children. When it is present on the genitals of an adult male or female transmission is usually through sexual exposure. It manifests in the form of asymptomatic, pearly white or pink papules with well-defined depressed centers known as umbilication. After trauma or spontaneously after a few months, inflammatory changes result in suppuration and crusting leading to destruction and disappearance of the lesions.
Joints & connective tissue disorders
Cases of joint complaints have done well on homoeopathic treatment. The prognosis depends on
- Type of the pathology
- Duration of the complaint
- Underlying cause
- Age of the patient
Backache
One in every four persons suffers from some sort of back complaints or Lumbago as it is known commonly. This is because of several causes like Posture, work stress, injury, infection, mental stress, back aches resulting from other internal pathologies (referred pains). People with back problems go to lengths to reduce their pain resorting to various forms of treatments.
We have many cases of backache where the patients have got rid of their ache completely. Complaints like prolapsed-intervertebral disc and restricted lifestyles due to these kinds of problems have been totally symptom free and leading normal lives.
Cervical Spondylosis
A problem of the neck region. The most common complaints are that of pain in the nape of the neck, tingling & numbness of the fingers & pain in the shoulders & back. Vertigo & stiffness of the neck are other common symptoms. The main causative factor is reduction in the disc space in-between the vertebrae (bones of the spinal cord in the neck) leading to compression of the nerves. Wrong postures & occupational stress (physical & mental) of modern day life play an important role. Along with medication the patient is required to do regular neck exercises & physiotherapy. Regular exercise & correct postures helps in avoiding this problem.
Rheumatoid Arthritis
An auto-immune affection and inflammation of the joints this disease affects all the joints of the body. The affected joints show destruction & deformation. The blood test may or may not reveal a positive RA factor. Symptoms: Swelling & pain in the small joints of the finger & toes to begin with. As the disease progresses other joints get affected along with other systemic symptoms (weight loss, fever, weakness, etc.)
Osteo - arthritis (O A)
Pain in the weight bearing joints especially the knees, hips & spine are mostly caused by O A. There is degeneration in the lining of the joints caused by age, osteophytes and wearing of the joint capsule. There are many underlying factors, which need to be looked into when the problem is diagnosed.
Gout
A disorder of the body where the required amount of uric acid is not excreted but accumulated giving rise to inflammation and pains in various joints of the body. The toe and ankle are usually affected. They are very painful & do not respond to normal painkillers. Along with the medication it is very important to have a proper dietary assessment & shift on a low protein diet.
Renal Stone & Renal colic
Kidney stones responsible for agonizing colic are made of calcium oxalate, phosphate, uric acid crystals, or cystine stones. The causes vary from diet, habitat, & internal pathologies. Treatment of the renal stone with Homoeopathy depends on the type, site & the size of the stone.
Urinary tract infection
Sudden onset, difficulty in passing urine, painful urination, burning are some of the common symptoms. Desire to pass urine even after emptying the bladder, pain in abdomen & at times haematuria (bleeding) are also seen.
Precautions against urinary infection
1. Increased fluid intake
2. Regular emptying of bladder
3. Complete emptying of bladder
Acutes & Homoeopathy
It's a common myth that Homoeopathic medicines act slowly & can't help much in acute complaints. Homoeopathy acts effectively in many acute complaints giving quick relief. Some common acute complaints
- Viral Fever
- Influenza (Flu)
- Diarrheoa (Acute Gastro-enteritis)
- Dysentery
Fever
Fever is one infection, which rings an alarm bell in people of all age groups. Especially so in parents whose child has a fever. For us as doctors it is not important to just treat the fever. Fever is only the body's reaction and not the main infection per se. Our aim is to investigate & find out where is the origin of the fever. Fever is always an out come of some internal infection & unless that is dealt with the fever does not subside.
Emotional Disturbances
Emotional disturbance refers to a number of different, but related, social-emotional disabilities. Individuals classified as emotionally disturbed meet several criteria , including the following:
- An inability to exhibit appropriate behavior under ordinary circumstances
- An inability to maintain relationships with peers or teachers
- An inappropriate affect such as depression or anxiety
Excessive mental tension
Mental Tension arises due to the excessive mental activity. The mind is a whirlpool of fantasies, confusions and oscillations. Throughout our life, the experience registered by our consciousness is accumulated in the mental body. From time to time these explode, affecting our body, mind behavior and reactions. When we are sad, angry or irritated, we often attribute that condition of the mind to some superficial cause. But the underlying cause behind man’s abnormal behavior lies in the accumulated tensions on the mental plane. The main solution of all these tension is the Yog Nidra. Yoga nidra is the science of relaxation which enables each of us to dive deep down into the realms of the subconscious mind, thereby releasing and relaxing mental being.
Confusion Of Mind
We offer Homoeopathic treatment for Confusion of Mind.
Depression
We are providing depression medicine as per disease .
Symptoms
We all go through ups and downs in our mood. Sadness is a normal reaction to life’s struggles, setbacks, and disappointments. Many people use the word “depression” to explain these kinds of feelings, but depression is much more than just sadness. Some people describe depression as “living in a black hole” or having a feeling of impending doom. However, some depressed people don't feel sad at all—they may feel lifeless, empty, and apathetic, or men in particular may even feel angry, aggressive, and restless.
Easily Changeable Mood
We offer homoeopathic treatment for Easily Changeable Mood.
Illusions
We offer homoeopathic treatment for Easily Changeable Mood.
Phobias (Fears)
Fear is an important basic human emotion that alerts us to a perceived danger. In normal situations, we regain self-control after a while once the fear is triggered, but when fears start to control us as that seen in patients suffering from phobias, anxieties or panic attacks, our lives may be under constant stress. Akin to all other emotions, fear can be mild, moderate, or intense, depending on the individual and the circumstances in which the emotion is brought out.
Destructiveness
A large number of people suffer from Anxiety, Depression or Sadness nowadays. These mental illnesses have many clearly pronounced physical effects also such as heart palpitations, muscle weakness, muscle tension, fatigue, nausea, chest pain, shortness of breath, stomachaches, or headaches.
Diabetes
It is one of the fastest growing problems in today's world. It is caused by underproduction of a hormone called Insulin secreted by Pancreas. This hormone plays a vital role in the metabolism of the body. Our modern day life style, food habits, & obesity are known as major precursors of Type 2 diabetes. A diabetic has to maintain a balance between his diet, exercise, & activity. Stress (physical & Mental) plays an important role in increasing of blood sugar levels. Regular check up with your doctor & regular monitoring of Glycosalated Hemoglobin A1c helps us monitor diabetic control. The better the control the less are the chances of complications of diabetes like Nephropathy (Kidney affection), Neuropathy (Nerve affection), Retinopathy (Eye complications) & Cardio vascular complications. Stress plays a role in altering the body's metabolism & aggravating the problem. Homoeopathy helps here in reducing the stress hormones, maintaining good health, & regulating blood glucose. Along with medications it is vital to adhere to proper diet & regular exercise regime given to you by the doctor. The other type of diabetes Type 1 (Insulin dependant diabetes mellitus) has to be managed exclusively with Insulin injections along with diet & exercise.
Hypertension
Along with diabetes another health condition that's been making headlines is hypertension or high blood pressure. We have treated patients as young as 18 yrs. of age getting being diagnosed as hypertensive. This problem is a silent killer & the symptoms are not always noticeable. 70 % of the cases suffer from essential hypertension. (i.e. Exact cause remains elusive) Some of the causes that lead to this complaint include kidney diseases, Endocrinal disorder, Alcohol, drugs, pregnancy, & Stress. Symptoms- most patients remain asymptomatic but a few may have throbbing, pulsating headaches & head heaviness. Not treating this condition promptly can lead to cerebral hemorrhage (Stroke), retinal & renal damage. Along with medications it is important to bring about a change in life style. This includes reducing stress (physical as well as mental), regular exercise, weight loss, healthy food habits, & a salt restricted diet. All these help in managing the problem & for those who don't suffer from it, this regimen will help in keeping the problem at bay.
High Cholesterol
Our diet constitutes of carbohydrate, protein, & fat. Energy is stored in the body in form of glycogen & adipose tissue (fat). Excess of blood fats (FFA free fatty acids) can cause deposition in the blood vessels leading to cardiac & cerebral complications. It is important to keep the levels of triglycerides, LDL & VLDL cholesterol as low as possible. This can be done by drastically improving the food habits. Our routine food could be very rich in fat, which increases cholesterol & body weight. Normal blood cholesterol must be kept below the level of 200 mg% & Triglycerides below 150 mg %. At the clinic appropriate diet instructions are advised along with the medication
Ischemic Heart Disease (IHD)
There have been so many cases reported of young adults about 30-35 yrs & above who have undergone by-pass surgeries or angioplasty to treat a blocked coronary artery. This disease generally affecting people in the 4th decade & above is now taking a toll on young adults. Our life style plays an important role in inviting this problem with our modern day living, diet rich in fats (especially saturated fats), refined & processed foods, lack of proper exercise & stress along with other systemic diseases like Diabetes & Hypertension. All these coupled together lead to IHD. This pathology is characterized by reduced blood supply to the heart muscle, which can be due to atherosclerotic plaque in blood vessels, arteriospasm, & cardiac overload. The patient may not have any symptoms to begin with, hence the problem often goes unnoticed. Preventive cardiac care is gaining lot of momentum worldwide. Bringing about a change in life styles along with an alteration in diet help in minimizing the risks. Yoga, too, plays an important role in keeping the body fit.
Homoeopathy plays a major role in preventive cardiac care where in it reduces the amount of stress on the individual body.
Women
Homoeopathy has a befitting reply for disorders like irregular menses, menorrhagia(heavy and prolonged bleeding), metrorrhagia(bleeding in between the periods)menopausal changes leading to mental and physical imbalance, arthritis after menopause, leucorrhoea, mood swings, PMS etc.
Q. Why is there a significant increase in these problems, today?
Women are much more stressed than men. Housewives have to deal with raising their children in the best possible way in this highly competitive world. Daily decisions of the needs of the house are equally demanding. Despite all this work there is hardly any appreciation, as these tasks are not given much importance by the society. She is like the CEO of a company who makes his own decisions, has to run his own errands, gets no pay for this high profile job and not much recognition for it either. To top it all is the ever-increasing stress of ageing and wanting to look her best. Working women deal with all these roles at home and then swing to a totally different male oriented role in office. So the reality is that the woman goes through so many different character roles and different plans and responsibilities according to these roles. Her mind is adjusting to these CHARACTER -SWINGS and her body has to adjust to several cyclical changes every month. The result of all this is evident on the female reproductive system. One of the most important one among them is dysmennorhea & irregular menses due polycystic ovarian disease of which we have several documented results.
Obesity
The issue troublesome for most women today is Weight Gain and Obesity. Stress is the major cause of Obesity. Therefore this problem requires treatment along with proper instructions on diet and exercise. Obesity is tackled with this three-fold program at the clinic.
- Homoeopathic constitutional remedy
- Diet
- Exercise
Chikun Guinea
Chikun Guinea is an Arbo Virus infection charecterized by a high fever that begins abruptly , muscle ache , a rash & pain in the joints .It is transmitted by the bite of a mosquito of Aedes genus & occures mainly in Africa ,Asia & some of the Pecific Islands, including Guam . The fever may last for a week , then rise again after a remission of several days . Pain in the joint may continue after other symptoms have ceased .
The Aedes mosquito is prevalant in tropical & subtropical regions . Its several species are capable of transmitting pathogenic organisms to humans , including Chickun Guinea , Dengue , Equine Encephalitis , St'Louis Encephalitis , Tularemia & Yellow Fever .
Arbo Viruses are Arthropode - borne & are more than 300 in number . They cause infections charecterised by 2 or more of the following - Fever , Rash , Encephalitis & Bleeding into the viscera or skin . Chickun guinea , Dengue , Yello Fever & Equine Encephalitis are the common Arbo Virus infections .
Prophylactics as well as effective treatment are provided with Homoeopathy . It is better to take the preventive medicines every year , which will give immunity towards these health hazards .
Dengue Fever
Chikun Guinea is an Arbo Virus infection charecterized by a high fever that begins abruptly , muscle ache , a rash & pain in the joints .It is transmitted by the bite of a mosquito of Aedes genus & occures mainly in Africa ,Asia & some of the Pecific Islands, including Guam . The fever may last for a week , then rise again after a remission of several days . Pain in the joint may continue after other symptoms have ceased .
The Aedes mosquito is prevalant in tropical & subtropical regions . Its several species are capable of transmitting pathogenic organisms to humans , including Chickun Guinea , Dengue , Equine Encephalitis , St'Louis Encephalitis , Tularemia & Yellow Fever .
Arbo Viruses are Arthropode - borne & are more than 300 in number . They cause infections charecterised by 2 or more of the following - Fever , Rash , Encephalitis & Bleeding into the viscera or skin . Chickun guinea , Dengue , Yello Fever & Equine Encephalitis are the common Arbo Virus infections .
Prophylactics as well as effective treatment are provided with Homoeopathy . It is better to take the preventive medicines every year , which will give immunity towards these health hazards .

